Pediatric Orthodontist in Lawrenceville, NJ

When is Phase 1 Orthodontics Necessary?
Phase 1 orthodontic treatment — also known as early interceptive treatment — is designed for children ages 6 to 10. While not every child needs early orthodontic care, there are certain situations where starting treatment at a young age can impact your child’s dental health and overall well-being.
As a licensed orthodontist in the Lawrenceville area, Dr. Callan may recommend Phase 1 if your child is experiencing:
Severe Crowding
When there isn’t enough space for permanent teeth to come in properly, early treatment can help create the room needed for a healthy smile.
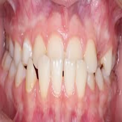
Crossbites
If the upper and lower jaws don’t line up correctly, this causes the jaw to shift or grow unevenly.
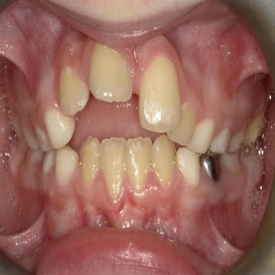
Protruding Front Teeth
Teeth that stick out are more likely to be injured. Phase 1 treatment works to move these teeth into a safer position.
Underbites/Overbites
These bite issues can affect your child’s facial profile and jaw growth.
Harmful Oral Habits
Habits like thumb-sucking or tongue thrusting often impact how teeth and jaws grow. Early orthodontic care can help break these habits while preventing future problems.
Early or Late Loss of Baby Teeth
Losing baby teeth too soon or too late may disrupt the normal eruption of permanent teeth.
Airway Concerns
Narrow dental arches can sometimes affect breathing. Expanding the arches early can improve both dental and airway health.
Speech Difficulties
In some cases, misaligned teeth or jaws make it harder for children to speak clearly.
If you notice any of these concerns or if your child’s dentist has recommended a pediatric orthodontist, we’re here to help! Our experienced team will work with you to determine if Phase 1 treatment is the best option for your child’s smile.
What Phase 1 Treatment Typically Includes
Phase 1 orthodontic treatment is always tailored to your child’s unique needs. Here’s a closer look at the different types of early interventions that may be recommended at our Lawrenceville, NJ, practice.

Palatal Expanders
A palatal expander is a gentle, custom-made appliance designed to widen the upper jaw gradually. This treatment is beneficial for children with crowded teeth or crossbites.
By creating more space in the mouth, a palatal expander enables permanent teeth to erupt into their proper positions and can also improve breathing in some cases. The process is comfortable and closely monitored, with adjustments made as your child grows and develops.

Partial Braces
Phase 1 braces are placed on just a few teeth, rather than the entire mouth. These braces help guide the eruption and alignment of new teeth, making sure they come in straight and in the right place.
Early alignment with partial braces can prevent more complex orthodontic issues down the road and often makes future treatment both simpler and shorter.

Space Maintainers
If your child loses a baby tooth earlier than expected, a space maintainer may be recommended. This small device holds the space open for the permanent tooth, preventing neighboring teeth from shifting into the gap.
By preserving the correct spacing, space maintainers help ensure that permanent teeth erupt in their ideal positions, reducing the risk of crowding or misalignment.

Removable Appliances
Removable appliances are custom-made devices that can be taken in and out by your child. They are often used to correct specific bite issues, guide jaw growth, or address minor alignment problems.
Our appliances are designed to be comfortable and easy to care for, and our team will provide clear instructions to help your child get the most benefit from their use.

Habit-Breaking Appliances
Some children develop habits that can interfere with the proper growth and alignment of their teeth and jaws. If these habits persist beyond the early years, they can lead to issues like open bites, protruding front teeth, or changes in the shape of the dental arches.
Habit-breaking appliances are specially designed devices that are comfortably fitted to your child’s mouth. For thumb-sucking, a small, fixed device is placed on the roof of the mouth that gently reminds your child not to place their thumb in their mouth. For tongue thrusting, a similar appliance will guide the tongue into the correct position during swallowing and speaking.

Headgear
Headgear is an orthodontic appliance that works outside the mouth, using gentle, steady pressure to guide the growth and positioning of the upper or lower jaw.
Typically, headgear is worn in the evenings and while your child sleeps, so it won’t interfere with daily activities or school. The appliance consists of a lightweight frame that attaches to braces or bands on the teeth, along with a strap or harness that fits comfortably around the head or neck.
Note that the amount of time your child might need to wear headgear each day will depend on their specific needs and the goals of treatment.
The Benefits of Seeing an Orthodontist
As an experienced orthodontist in Lawrenceville, NJ, we understand that it’s about much more than just creating a straight smile — it’s about setting your child up for a lifetime of better oral health. By intervening at the right time, we can take advantage of your child’s natural growth to address concerns before they become more complicated.
Here at Callan Orthodontics, we’re committed to providing care that supports your child’s health, comfort, and happiness. If you ever have any questions about early orthodontic treatment, our friendly team is available to help guide you through the process.
Lifelong Oral HealthPhase 1 treatment guides jaw growth so that all permanent teeth have the space they need to come in properly. This prevents the need for more invasive procedures (such as tooth extractions) later on. | Reducing the Risk of Dental InjuriesChildren with front teeth that stick out are more likely to experience dental injuries, especially during active play. Early orthodontic care repositions these teeth, helping to protect your child’s smile from accidental trauma. | Making Future Treatment EasierBy creating space for crowded teeth and guiding their eruption, early intervention can simplify any future orthodontic care your child may need. That means less time in braces during the teen years and a smoother, more comfortable treatment process. | Boosting Their ConfidenceA healthy smile makes a big difference in your child’s self-esteem, especially during the important years of social growth. Early treatment from a pediatric orthodontist will help your child feel more confident as they interact with friends or classmates. |
What Parents Can Expect from an Orthodontist
We understand that starting orthodontic care for your child is a big decision, and that’s why we’re here to make treatment as smooth as possible. Here’s what you can expect regarding Phase 1 treatment at our Lawrenceville office:
Cost
The average cost for Phase 1 orthodontic treatment typically ranges from $2,000 to $5,000, depending on the complexity of your child’s needs. Many dental insurance plans cover 25-50% of orthodontic treatment, and our team is happy to help you navigate your benefits.
Most orthodontic offices — including ours — offer interest-free payment plans to make treatment more manageable. You can also use Flexible Spending Accounts (FSA) or Health Savings Accounts (HSA) to cover eligible orthodontic expenses.
It’s important to remember that early intervention can sometimes reduce the need for more extensive, costly treatments later on. When you choose to invest in pediatric orthodontics, you’re also supporting your child’s future.
Pediatric Orthodontist Office Visits
Treatment begins with a comprehensive initial consultation, which includes a thorough exam, x-rays, photos, and impressions to fully understand their needs. We’ll then schedule a follow-up visit to discuss our findings and walk you through the recommended treatment plan.
Appliance placement usually takes about 30-60 minutes. After that, you can expect regular adjustment appointments every 6-8 weeks, with most Phase 1 treatments lasting 6-12 months.
Throughout treatment, we’ll closely monitor your child’s growth and development, making adjustments as needed. Once active treatment is complete, we’ll move into a retention phase with less frequent visits to help maintain the corrections for lasting results.


Managing Pain and Discomfort
It’s normal for children to experience some mild soreness for a few days after their appliance is placed, and again for a day or two after adjustments.
Over-the-counter children’s pain relievers will help with any discomfort, as well as sticking to soft foods during these periods.
Orthodontic wax is another option; it is applied to any areas where the appliance may irritate, providing extra comfort. We’ll also show your child special brushing and flossing techniques to keep their mouth clean and comfortable.
Most importantly, we encourage open communication for all patients at our Lawrenceville office — let us know if your child is experiencing discomfort so we can help them feel their best!
Making Your Decision: Is An Orthodontist Right for Your Child?
The American Association of Orthodontists recommends an initial orthodontic screening by age 7, but treatment from a pediatric orthodontist may not be necessary right away.
During your consultation, we’ll thoroughly evaluate your child’s specific needs, explain whether treatment is needed (both now and in the future), and provide clear visual explanations of any recommended treatments.
We’re here to answer all your questions about each treatment option, so you can make an informed decision.
Our goal is to provide the right treatment at the right time. Sometimes that means early intervention, and sometimes it means simply monitoring your child’s growth and development until they’re ready.
Whatever your child’s needs, you can count on Callan for expert guidance, compassionate care, and support during each phase of treatment.
Schedule an Orthodontic Consultation
Ready to take the next step toward your child’s healthiest, happiest smile? We’ll take the time to discuss your child’s orthodontic concerns, creating a personalized treatment plan that’s just right for your family. Schedule a complimentary consultation with Dr. Callan today!
Hundreds of Happy Patients















