Before and After: Stories of Success!
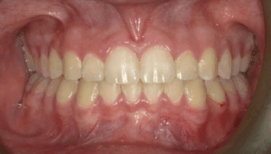
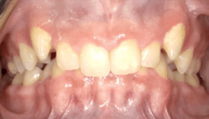
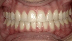
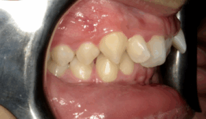
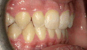
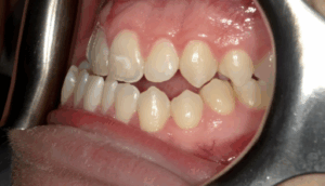
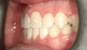
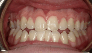
Crossbite / Narrow Bite Treatments

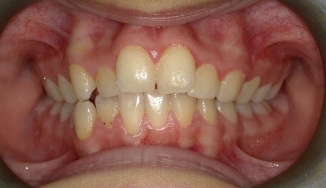
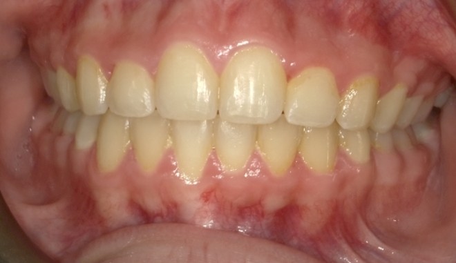
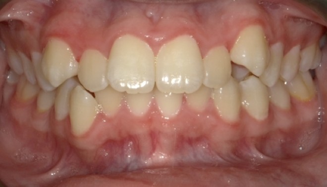
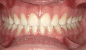
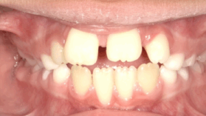
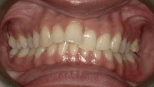
Before

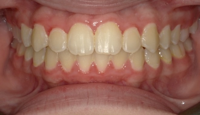
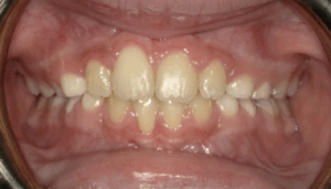
After
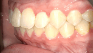
Youth Crossbite Treatment
Age Group: 13-year-old female
Appliances Used: Upper and lower braces
Treatment Time: 20 months
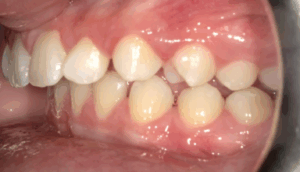
Youth Crossbite Treatment
Age Group: 11-year-old female
Appliances Used: Braces
Treatment Time: 18 months

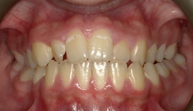
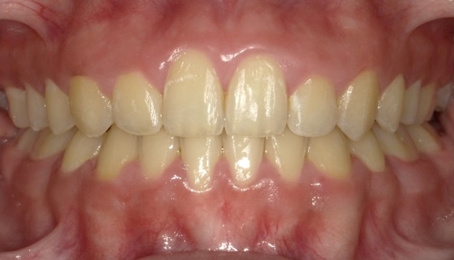
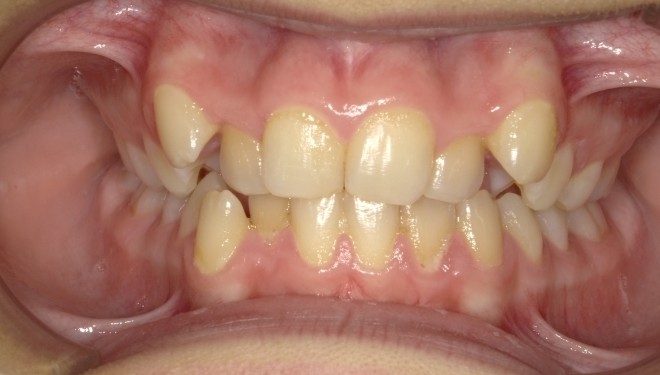
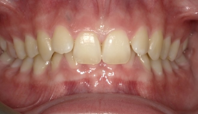
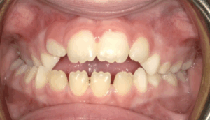
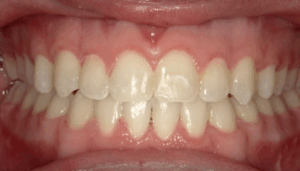
Before

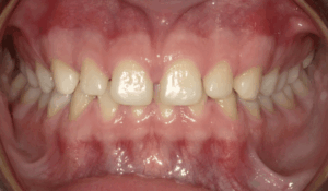
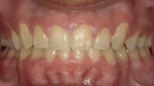
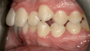
After

Before

After
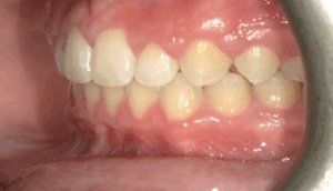
Youth Crossbite Treatment
Age Group: 13-year-old female
Appliances Used: Braces
Treatment Time: 25 months
Crowding / Spacing Treatments

Before

After
Youth Crowding Treatment
Age Group: 11-year-old female
Appliances Used: Braces
Treatment Time: 17 months
Youth Crowding Treatment
Age Group: 13-year-old female
Appliances Used: Braces
Treatment Time: 22 months

Before

After

Before

After
Spacing Treatment
Deep Bite / Overbite Treatments

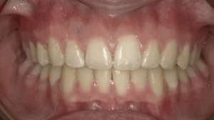
Before

After
Youth Overbite Correction
Age Group: 11-year-old male
Appliances Used: Braces
Treatment Time: 18 months
Youth Overbite Treatment
Age Group: 12-year-old female
Appliances Used: Braces
Treatment Time: 18 months

Before

After

Before

After
Youth Overbite Treatment
Age Group: 14-year-old male
Appliances Used: Braces
Treatment Time: 22 months
Missing Teeth Treatment

Before

After
Youth Spacing Adjustment
Age Group: 13-year-old female
Appliances Used: Braces
Treatment Time: 25 months
Open Bite Treatment

Before

After
Pediatric Open Bite Correction
Age Group: 9-year-old male
Appliances Used: Braces
Treatment Time: 9 months
Pediatric Open Bite Correction
Age Group: 9-year-old female
Appliances Used: Braces
Treatment Time: 10 months

Before

After
Protruding Teeth / Overjet Treatment

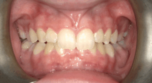
Before

After
Youth Overjet Correction
Age Group: 11-year-old female
Appliances Used: Braces
Treatment Time: 17 months
Youth Overjet Correction
Age Group: 14-year-old male
Appliances Used: Braces
Treatment Time: 19 months

Before

After

Before

After
Young Adult Overjet Correction
Age Group: 18-year-old female
Appliances Used: Invisalign
Treatment Time: 23 months
Youth Overjet Correction
Age Group: 12-year-old female
Appliances Used: Braces
Treatment Time: 27 months

Before

After
Underbite Treatment

Before

After
Young Adult Underbite Correction
Age Group: 20-year-old male
Appliances Used: Braces
Treatment Time: 19 months
Youth Underbite Correction
Age Group: 15-year-old female
Appliances Used: Invisalign
Treatment Time: 17 months

Before

After


