Orthodontic Treatment in Lawrenceville, NJ
No matter what issues you are experiencing, there are several stages of treatment you can expect at Callan Orthodontics.
Treatment Options

Braces
| Metal, Ceramic, Self-Ligating |
| Visible (metal more noticeable, ceramic less so) |
| Metal or ceramic brackets and wires |
| Regular adjustments are needed, and diligent cleaning required |
|
Braces can trap food, and need thorough brushing and flossing
|
| Typically 18-24 months |
Invisible Aligners
| Invisalign, Custom-made aligners |
| Nearly invisible |
| Clear plastic aligners |
| Change aligners every 1-2 weeks, remove them for eating and drinking |
| Clean aligners regularly, remove them for meals |
| 18-24 months, can be shorter for minor adjustments |
Orthodontic Issues We Treat
At Callan Orthodontics, we strive to provide the best care for a variety of orthodontic issues. This includes:
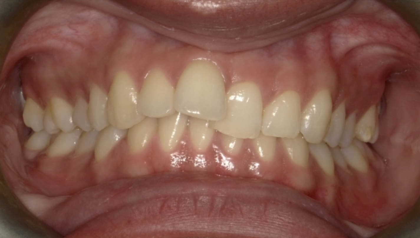
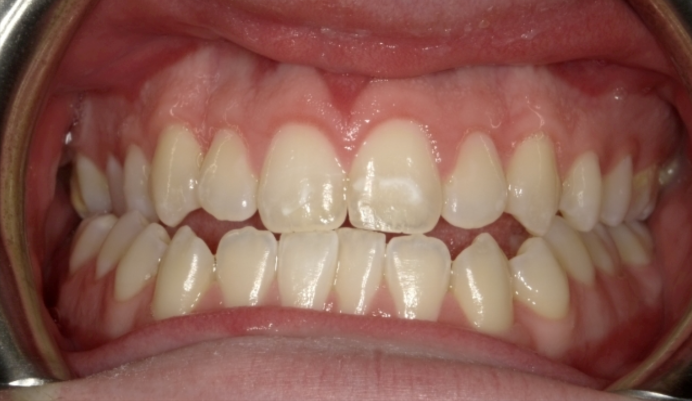
Misalignment & Underbites
Misalignment occurs when the upper and lower teeth are crooked. Misalignment can range from mild to severe, with severe cases leading to malocclusions (bad bites), such as an open bite. Underbites occur when the lower front teeth protrude past the upper front teeth. This can be caused by several issues, including tongue thrusts and/or the lower jaw extending further than the upper jaw.
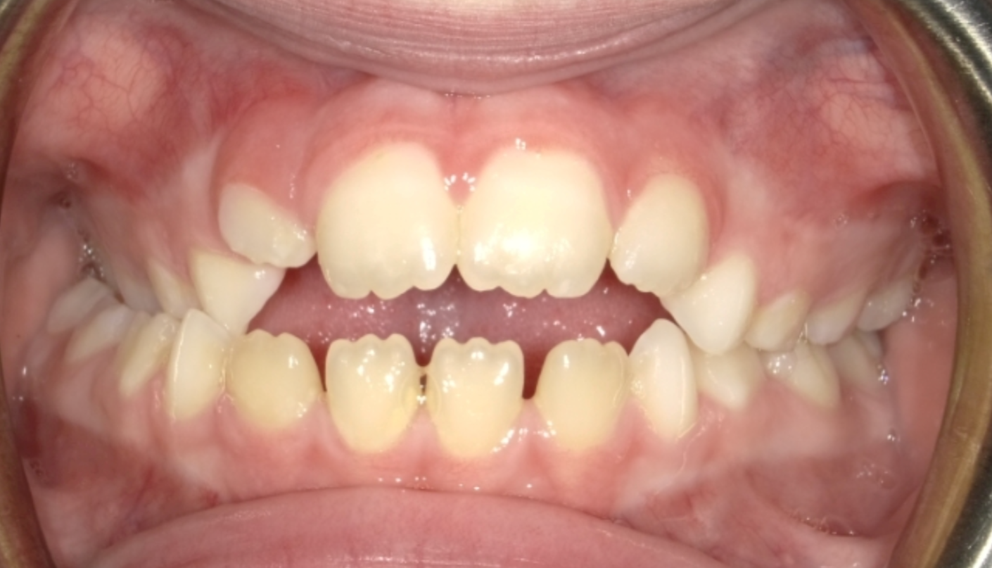
Overjet
Overjet (often called overbites) is similar to underbites but occurs when the upper front teeth protrude past the lower front teeth. This is due to the upper jaw extending past the lower jaw.
Crossbites
Crossbites occur when one or more upper teeth slot behind the lower teeth. It occurs most commonly as a result of a misaligned upper and lower jaw. It is similar to an underbite, but only affects a group of upper teeth as opposed to all of them.
Speech/Chewing issues
Crooked teeth and mouth and jaw deformities can negatively impact speech and chewing.
If you are still unsure about your orthodontic treatment, do not take our word for it. Take a look at some of our successfully realigned smiles!
Who Needs Braces?
When most people think of braces, they tend to imagine them in teens and preteens. This is a misconception, however — braces are for everyone with correctable orthodontic issues, no matter the age.
Children
Because their teeth are not permanent, most young children do not receive braces. In extreme cases, however, they may have jaw issues severe enough that they are apparent even at a young age. These issues might include misaligned jaws, severe crowding of teeth, or other developmental problems that could lead to more serious dental issues in the future.
In such instances, Dr. Callan may recommend early orthodontic treatment. This proactive approach can help address these problems early on, making future treatments less complex and more effective. Early orthodontic treatment for children allows for:
- Guided Jaw Growth: Ensure the jaw develops properly to accommodate permanent teeth.
- A Reduced Risk of Trauma: Corrects protruding front teeth to minimize the risk of injury.
- The Correction of Harmful Oral Habits: Addresses habits like thumb sucking or tongue thrusting that can affect dental development.
- Speech Improvement: Assists in the proper development of speech by ensuring teeth and jaws are correctly aligned.
- Space for Erupting Teeth: Makes room for permanent teeth to come in properly, reducing the need for extractions later.
Preteens and Teens
While preteens and teens are not the only recipients of orthodontic treatments, they represent the bulk of our patients. That is because most of us lose all of our baby teeth by the age of 12 or 13.
Most non-wisdom adult teeth, or permanent teeth, are also in place at this age. At this stage of development, any issues with the mouth, jaw, and teeth become more apparent, making it an ideal time for orthodontic intervention. Orthodontic treatment for preteens and teens can:
- Correct Teeth Alignment: Ensures that teeth are properly aligned for a functional and aesthetically pleasing smile.
- Improve Bite Function: Addresses issues such as overbites, underbites, and crossbites to improve chewing and speaking.
- Prevent Future Dental Problems: Reduces the risk of tooth decay, gum disease, and other dental issues by correcting misalignments.
- Boost Self-Esteem: Increases confidence and self-esteem by providing a healthier smile.
Adults
Many adults may not have received the orthodontic care they needed during childhood to straighten teeth. Fortunately, it is never too late to benefit from braces or other orthodontic treatments!
There is no shame in getting braces once you are older — in fact, you should be proud of yourself for taking steps later in life to improve your oral health and getting the healthy smile you have always wanted! Adult orthodontic treatment helps patients with:
- Correcting Teeth Alignment: Straight teeth improve both function and aesthetics, leading to a more confident smile.
- Improving Bite Function: Addressing issues such as overbites, underbites, and crossbites to enhance chewing and speaking abilities.
- Addressing Long-Standing Issues: Correcting dental issues that may have been present for many years, providing much-needed relief.



